Francisco Dionizio Alves dos Santos morreu no Hospital João Câncio, em Sena Madureira, interior do Acre, após ser atingido por facada no coração. Segundo a Polícia Civil da cidade, o crime ocorreu quando a vítima bebia com um amigo em um bar e houve um desentendimento entre os dois.
O suspeito do crime foi preso em flagrante. O crime ocorreu nesta quinta-feira (21), mas a polícia falou sobre o caso apenas neste sábado (23).
“A vítima e o acusado passaram o dia consumido bebidas alcoólicas, o acusado tem seus 57 anos e disse que não lembrava de muita coisa, só que pegou um chute na cabeça, foi dar outro e tinha uma faca de cortar limão no bolso e deu um golpe”, contou o delegado responsável pelo caso, Marcos Frank.
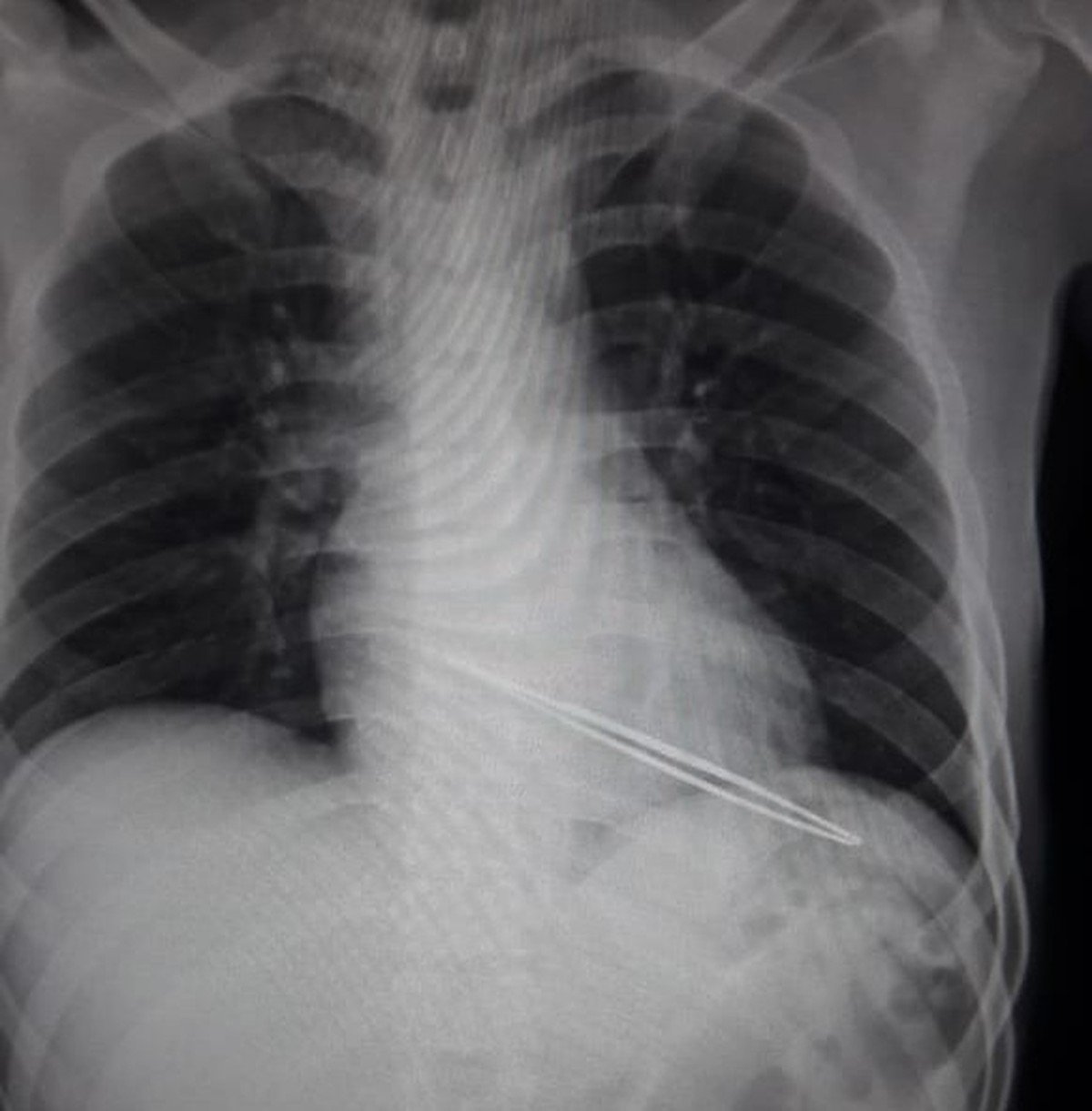
Ainda segundo o delegado, a lâmina da faca usada tinha menos de quatro centímetros. O rapaz morreu de hemorragia no hospital.
“Foi um único golpe bem em cima do coração. Não achamos a faca, foi apreendida só a bainha que estava no bolso dele. Não acho que seja homicídio, acredito que foi lesão seguida de morte. Deu um golpe e saiu”, explicou.

